HOLISTYCZNE CENTRUM LECZENIA ZWIERZĄT
Mirosław Tarka
USG dla zwierząt
Ultrasonografia jest nieinwazyjną, atraumatyczną metodą diagnostyczną, pozwalającą na dokładną ocenę narządów wewnętrznych. Metoda ta wykorzystuje zjawisko rozchodzenia się, rozpraszania oraz odbicia fali ultradźwiękowej na granicy ośrodków.
Urządzenie do przeprowadzania USG składa się z dwóch części: głowicy (podczas badania trzyma ją lekarz) pełniącej funkcję nadajnika i odbiornika fal ultradźwiękowych oraz aparatu (wygląda jak duży komputer z monitorem i dziesiątkami przełączników) przetwarzającego odebrane sygnały w obraz. Fale ultradźwiękowe docierają do narządów wewnętrznych, które w różny sposób pochłaniają lub odbijają wiązkę ultradźwięków, co po analizie komputerowej odbierane jest jako ciąg ciemniejszych lub jaśniejszych punktów. Zebrane razem na monitorze tworzą zarys badanego narządu w odcieniach szarości.
USG jamy brzusznej
Jest najczęściej wykonywanym badaniem. Z reguły w ten sposób oceniamy stan narządów jamy brzusznej - wątroby, pęcherzyka żółciowego i dróg żółciowych, nerek, nadnerczy, trzustki, śledziony, pęcherza i gruczołu krokowego,jelit, węzłów chłonnych, macicy i przydatków. Badanie to wykonuje się przez powłoki jamy brzusznej. Włos w badanym miejscu goli się, a skórę smaruje specjalnym żelem, który zapobiega odbijaniu fal.
Oprócz samej oceny narządów USG może też służyć do wytyczania drogi igle, którą nakłuwa się zmiany w wątrobie, nerkach, trzustce tzw. punkcja pod kontrolą USG.
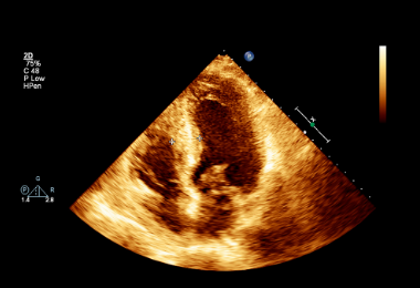
USG serca
Inaczej nazywane ECHO serca. Jest badaniem nieodzownym do podjęcia jakiegokolwiek leczenia kardiologicznego. Dzięki niemu możliwe staje się określenie struktury serca i funkcji zastawek, zaburzeń kurczliwości ściany, przecieków, fal zwrotnych, frakcji wyrzutowej i wielu innych parametrów.
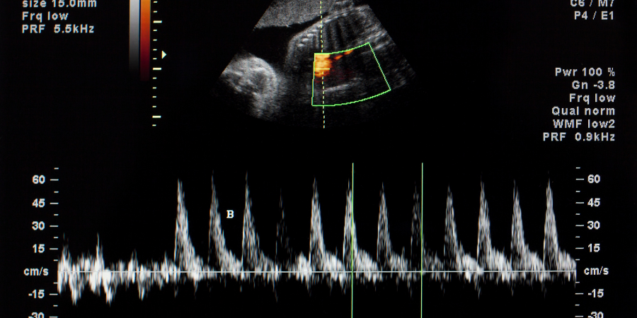
USG dopplerowskie
Służy do oceny przepływu krwi w naczyniach krwionośnych i sercu. Wykorzystuje się tu fakt zmiany długości fali odbitej od przedmiotu, który zbliża się lub oddala od głowicy. W przypadku USG takim przedmiotem są krwinki czerwone. Analizując odbitą od nich falę ultradźwiękową, można wykreślić kierunek i sposób przepływu krwi. Mierząc obszar zmiany barwy, jego kolor i nasycenie, dowiadujemy się np., że: jest nieszczelna zastawka mitralna w sercu; w aorcie znajduje się skrzeplina, która zaburza przepływ krwi, przewód Bottala jest drożny.
Co można jeszcze badać za pomocą USG?
Można wykonać USG jąder, prostaty, które to pozwala wykluczyć lub potwierdzić zmiany chorobowe.
Bardzo często wykonuje się także USG zmian podskórnych, ropni, guzków, nacieczeń itp.
Jak przygotować zwierzę do badania USG ?
Wszystko zależy oczywiście od tego, jaki narząd będzie badany. W przypadku USG jamy brzusznej zaleca się kilkugodzinną głodówkę i/lub zażycie środka przeciw wzdęciom w przeddzień badania (np. Espumisan ). Ułatwi to ocenę narządów wewnętrznych. Zapytaj nas czego Twoje zwierzę potrzebuje przed badaniem?
Duże znaczenie ma odpowiednie przygotowanie się do USG pęcherza moczowego - należy bowiem postarać się aby zwierzątko nie oddało moczu przed badaniem . Umożliwia to ocenę tego narządu (pusty pęcherz jest zapadnięty i niewiele można zobaczyć). Można też łatwo stwierdzić, czy coś uciska pęcherz (np. powiększony gruczoł krokowy), oraz określić ile moczu zostaje w pęcherzu po jego opróżnieniu.